Mini-tumors from circulating breast cancer cells offer new treatment insights

Tumor cells circulating in the blood are the germ cells of breast cancer metastases. They are very rare and have not been propagated in the culture dish until now, which made research into therapy resistance difficult.
Multi-target approach counters tumor growth in several cancers

The tissue adjacent to a tumor behaves differently than areas farther away. The tumor’s cancerous cells influence their surroundings, blocking the body’s immune defenses and creating a sort of haven in which the tumor can grow. Treatments that target some of these pro-tumor actions are effective in a number of cancers, but only for some patients; in others, these treatments have little effect.
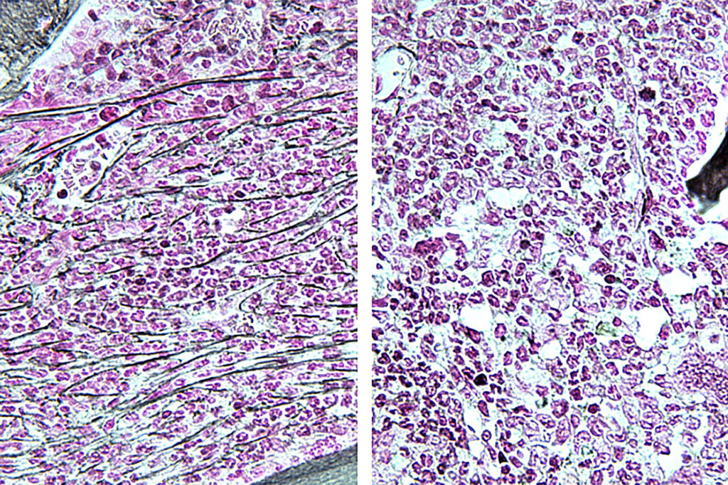
Highly invasive tumor hijacks neurons to grow, but a common heart medication offers hope

Chinese researchers have revealed new insights into the growth of craniopharyngioma and identified a potential therapeutic treatment. Their findings are published online in Science Translational Medicine.
Drug in clinical trials for breast cancer could also treat some blood cancers

Two new studies led by researchers at Washington University School of Medicine in St. Louis have identified a possible way to block the progression of several forms of blood cancer using a drug already in clinical trials against breast cancer.
Digital twin research finds colon cancer cells can be reverted to normal cells

Despite the development of numerous cancer treatment technologies, the common goal of current cancer therapies is to eliminate cancer cells. This approach, however, faces fundamental limitations, including cancer cells developing resistance and returning, as well as severe side effects from the destruction of healthy cells.
Clinical trial shows cancer-preventing topical immunotherapy trains immune system to fight precancers

A new study by investigators from Mass General Brigham uncovers how a novel immunotherapy prevents squamous cell carcinoma, with benefits lasting five years after treatment. This therapy is the first to activate specific components of the adaptive immune system, particularly CD4+ T helper cells, which are not known to be involved in traditional cancer treatments.
Bile acids impair liver cancer immunotherapy: A dietary supplement may offer relief

Immunotherapy is a modern approach to cancer treatment that uses a patient’s own immune system to help fight tumors. It has made an incredible impact on treating cancers in many different organ systems, including the lung, kidney, and bladder—but for other cancers, such as liver cancer, the therapy has been much less effective. This discrepancy is especially concerning as liver cancer rates have nearly tripled in the last 40 years.
A new weapon in the battle against cancer: The story of combo prodrug TTFA-Platin

Cancer is a deadly disease taking the lives of thousands of people worldwide, and researchers are constantly looking for better alternatives for treatment. One of the major breakthroughs is combination therapy—a treatment modality that uses two or more drugs for the treatment of cancer more effectively.
Advanced imaging uncovers hidden metastases in high-risk prostate cancer cases

A study led by researchers at the UCLA Health Jonsson Comprehensive Cancer Center has found that many cases of high-risk nonmetastatic hormone-sensitive prostate cancer may be more advanced than previously thought.
A battle of rafts: How molecular dynamics in CAR-T cells explain their cancer-killing behavior

A study published in Science Advances shares new insights into how two of the most common types of chimeric antigen receptor (CAR) T cells kill cancer.
Inhibiting GATA6 protein may be key to winning the fight against colon cancer

Northwestern Medicine scientists have discovered that inhibiting the GATA6 protein in mouse models of colon cancer reduced tumor growth and improved survival, underscoring the potential of a new therapeutic target for colon cancer, according to a recent study published in Science Advances.