Scientists uncover how cancer cells hijack T-cells, making it harder for the body to fight back

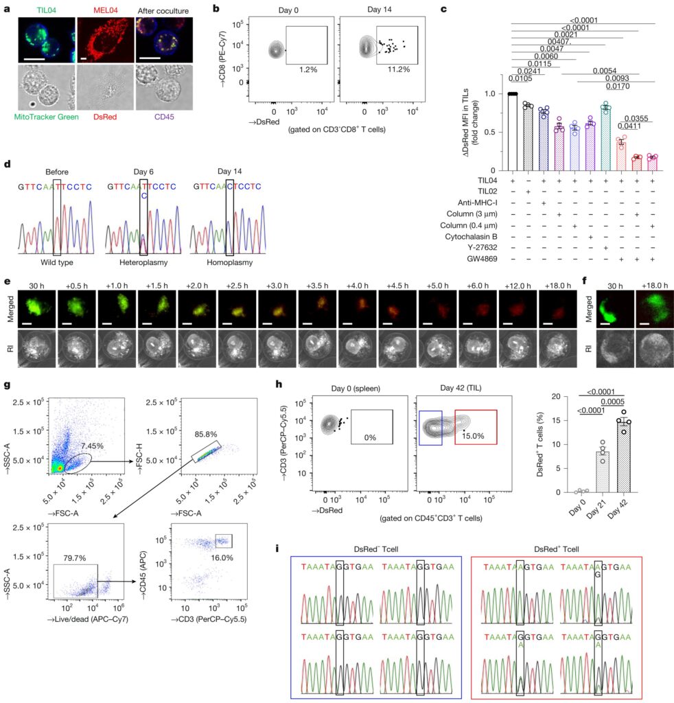
Research led by the Chiba Cancer Center Research Institute in Japan has discovered a surprising way cancer evades the immune system. It essentially hacks the immune cells, transferring its own faulty mitochondrial DNA (mtDNA) into the T-cells meant to attack it.
Injectable supramolecular hydrogel shows promise for neoadjuvant immunotherapy of triple-negative breast cancer

The efficacy of immunotherapy against triple-negative breast cancer (TNBC) heavily relies on intratumoral infiltration of cytotoxic T lymphocytes (CTLs). Although neoadjuvant chemotherapy together with immunotherapy has been approved for advanced TNBC, its efficacy is still unsatisfactory, possibly due to systemic treatment-induced lymphatic system disorders and upregulation of additional immune checkpoints in the tumors.
Drug candidate eliminates breast cancer tumors in mice in a single dose

Despite significant therapeutic advances, breast cancer remains a leading cause of cancer-related death in women. Treatment typically involves surgery and follow-up hormone therapy, but late effects of these treatments include osteoporosis, sexual dysfunction and blood clots.
New mechanism that shields persister tumor cells from immune system identified
Biomarker algorithm for Barrett’s esophagus and esophageal cancer developed

By studying biomarkers known to be involved in gastrointestinal cancers, researchers at the Johns Hopkins Kimmel Cancer Center and the Johns Hopkins University School of Medicine have developed a biomarker algorithm that, when combined with a noninvasive method to collect esophageal cells for study, could give clinicians insight into which patients [SJMM1] have esophageal cancer or precancerous conditions such as Barrett’s esophagus (BE) or high-grade dysplasia. Typically, such determinations are made by endoscopy, an invasive procedure performed with patients under anesthesia.
Tool gives more accurate estimates of recurrence risk and individual chemotherapy benefit in node-positive breast cancer

A new statistical tool that combines multiple clinical and pathologic factors with a patient’s 21-gene Oncotype DX Breast Recurrence Score result provides more accurate estimates about that patient’s breast cancer prognosis and their potential benefit from chemotherapy than either the Recurrence Score result or clinical factors alone.
Amgen Lumakras cleared for colorectal cancer (AMGN:NASDAQ) | Seeking Alpha

Amgen (AMGN) stock in focus as U.S. approval for its lung cancer drug expands for metastatic colorectal cancer. Read more here.
FDA sets priority review date for Verastem Oncology’s new ovarian cancer drug – Boston Business Journal

The FDA is aiming to make a decision about the treatment before the end of June.
Francis Medical raises $80 million for device that treats prostate cancer – Minneapolis / St. Paul Business Journal

The Maple Grove-based company, spun off from the former NxThera Inc., plans to use proceeds from the round to fund a clinical trial of its Vanquish device in the treatment of prostate cancer.
Protein CD74 can predict immunotherapy response in bowel cancer, independent of subtype

Bowel cancer is the fourth most common cancer in the UK, and the second most common cause of cancer death. The disease falls into two types: one where proteins that repair errors in DNA are missing or deficient (the deficient subtype), and one where this machinery is intact (the proficient subtype).
Study identifies potential microRNA target to overcome breast cancer resistance

A new University of Cincinnati Cancer Center study has identified a particular strand of microRNA as a promising new target for overcoming breast cancer treatment resistance and improving outcomes. The research was recently published in the journal Cancers.
The elimination of cervical cancer in NZ is within reach—but not without funding and a plan

After committing to a global plan to eliminate cervical cancer, New Zealand is lagging behind Australia and other countries in how it manages this preventable disease.